Contact Us

Board Certified in Periodontics and Dental Implants.

Results of our

Treatment and Care

Kindly utilize the slider to observe the results of the before and after care. To view the Before, slide it all the way to the right, and to view the After, move it all the way to the left.

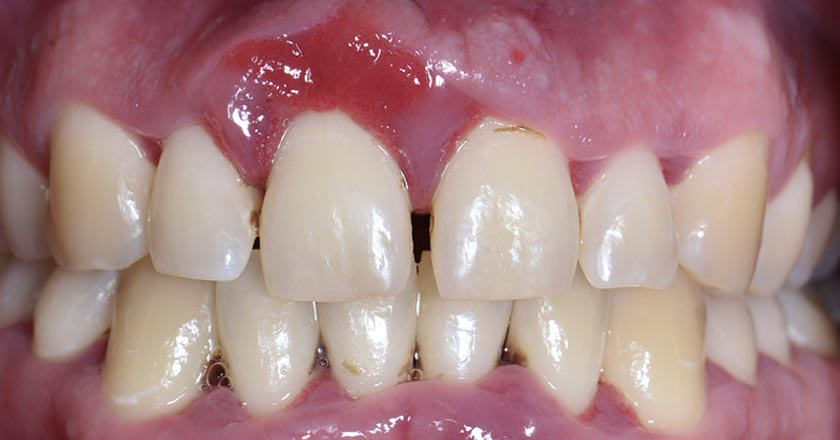
Gum Graft Lower - Before And After

Gum graft lower – before treatment
Gum graft lower – after treatment

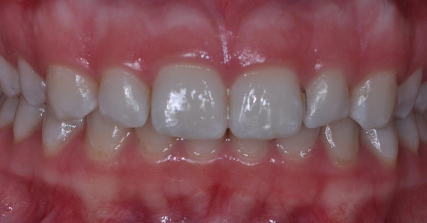
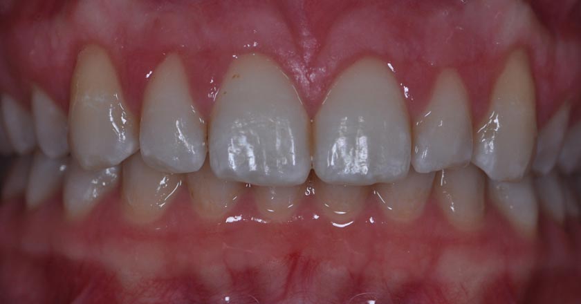
Gum Graft Upper - Before And After

Gum graft upper – before treatment
Gum graft upper – after treatment

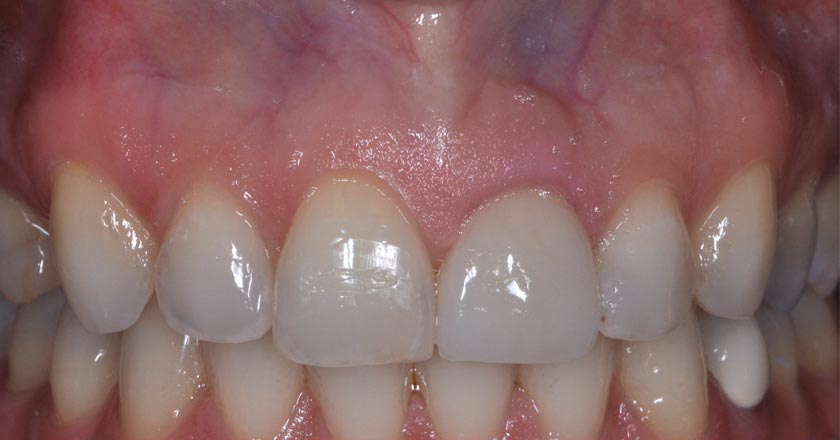
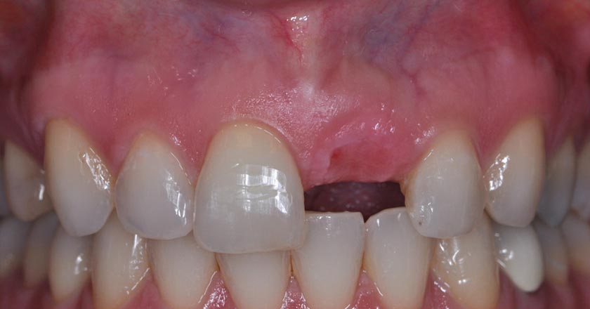
Implant - Before And After

Dental implant – before procedure
Dental implant – after procedure

Gum Disease - Before And After

Gum disease scaling and root planing – before treatment
Gum disease scaling and root planing – after treatment

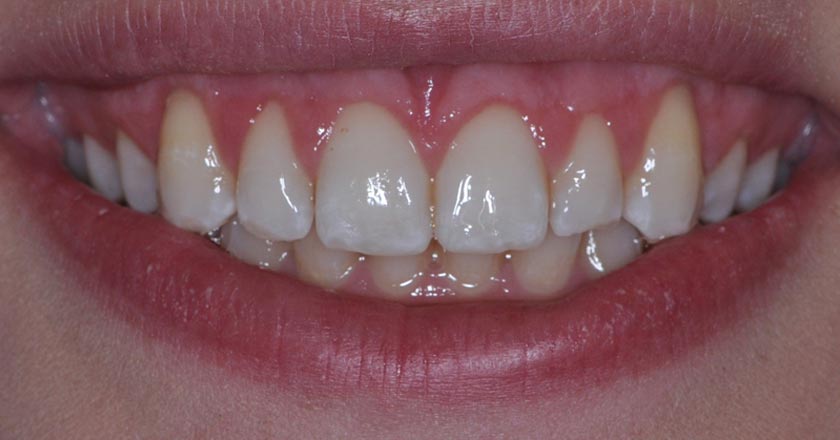
Gummy Smile - Before And After

Gummy smile correction – before treatment 1
Gummy smile correction – after treatment 1

Gummy Smile - Before And After

Gummy smile correction – before treatment 2
Gummy smile correction – after treatment 2

Implant Bone Grafting - Before And After

Implant bone grafting – before surgery
Implant bone grafting – after surgery

Tooth Bone Grafting - Before And After

Tooth bone grafting – before procedure
Tooth bone grafting – after procedure